2015年11月13日金曜日

大人の矯正  子供の矯正 あたみ駅前矯正歯科

あたみ駅前矯正歯科では
 
リカバリー矯正センターを併設して
 
無料相談をおこなっていおます。
 
子供のころ一度矯正したけど
 
またデコボコしてきた感じがする。
 
途中で矯正にいかなくなってしまった。
 
まだ針金が裏側についている。
 
親知らずがでてきたり
 
顎の成長、その他の歯科の治療
 
歯周病などが原因?
 
だけど目立たなく、費用を抑えて
 
治したい方 増えています。
 
一度相談ください。
 
 


2015年10月30日金曜日

歯につけるタイプの矯正の説明  動画  伊豆の矯正は熱海駅前矯正歯科

 
矯正中の患者さんにも
 
わかりやす装置の動画
 
 
湯河原・真鶴・函南・伊東・下田から多くの患者様
 
がいらっしゃてます。
 
インビザライン 痛くない矯正は
 
熱海駅前矯正歯科で


2015年10月26日月曜日

痛くない 目立たない矯正治療なら熱海駅前矯正歯科 変わりゆく熱海駅

 
 

 
 
 
新しい熱海駅の完成予定図
 
今後どんなふうに熱海が変わっていくのか?
 
 
観光を盛り返すのかはたまた何かを誘致するのか
 
変わるもの変わらないも
 
歴史のある熱海。
 
 


2015年10月23日金曜日

インビザライン マウスピース矯正なら 熱海駅前矯正歯科へ

 
 
アライナーのイメージ
 
 
マウスピース矯正のイメージ
 
目立たない矯正
 
痛くない矯正のご相談は
 
熱海駅前矯正歯科へ
 
熱海駅前矯正歯科では
 
湯河原・真鶴・函南・伊東・下田
 
から多くの患者様がいらしています。
 
熱海駅から一番近い歯科医院です。
 
 
マウスピース矯正相談随時受付
 
 
 
 





2015年10月21日水曜日

インビザライン矯正 なら熱海駅前矯正歯科

インビザライン説明動画
 


熱海駅前矯正歯科では

インビザラインをはじめとした

マウスピース治療または相談を

随時受け付けております。

2015年10月19日月曜日

当院の矯正検査 その4 矯正検査って何のためにやるの?

 
CT検査
 
 
矯正歯科医院でCTがある病院はまだ
 
あまりないようだがこれからは歯科の
 
世界でも当たり前になるとおもう。
 
 
当院のCT説明
 
(動画を見たい方は上記をクリックしてください。)
 
 
 
 
CTの画像
 
CTの一番は立体的に画像をみることができることです。
 
二次次元で見るより3次元で見るほうが
 
確実です。
 
埋伏歯がある場合の位置関係
 
切歯管に位置
 
蝶形後頭軟骨結合の位置
 
関節突起 筋突起の形状
 
歯周病の進行状況(歯槽骨のレベル)
 
上顎洞の形状と位置
 
親知らずと下顎管の位置関係
 
 
矯正の場合で一番確認することは
 
歯牙と骨との位置関係です。
 
効率よく歯を動かすためには
 
骨の形状、幅、皮質骨  根 解剖の理解が必要です。
 
 
CTはそういった意味で重要になります。
 
 
 
 


2015年10月17日土曜日

当院の矯正の検査 矯正検査って何のため その3

 
その3 頭部X線規格写真 (セファロ)
 
 
 
矯正の検査の中でも重要な検査です。
 
実際はこのレントゲンでなにを検査するか?
 
 
まず平均値と比べます。たとえば8歳の女の子なら
 
その年代の頭の幅が同じ子の平均に対して
 
各骨の位置を見ます。一般的にゆう出っ歯でも
 
実際は骨の位置は正常で、歯だけが出ている場合
 
また歯の角度は正常で上あご自体が前にある場合
 
さらに歯の位置も顎の位置も正常で下あごが後退
 
している場合など様々です。
 
実際に何が原因で不正なかみ合わせになっているかを
 
みます。また現在より何歳の時にどのくらい顔
 
が成長してくるかも予想します。
 
その他
 
・リンパ系の腫れのチェック (アデノイド 扁桃腺)
 
・奥行12歳臼歯のはえるスペースのチェック
 
ベロの位置
 
頸椎の位置
 
一番重要なのは骨格パターンといわれるものの判断です。
 
簡単に言うと歯を動かすときに動きやすいか
 
動きずらいかまた歯を動かしていくとき
 
下顎がどのような反応をしやすいかを想定してどのような
 
治療方法、方針にするかかんがえていくためが一番です。
 
 
 
頭部X線規格写真(正面セフォロ)
 
 
 
正面のセフォロでは特に左右のずれを確認します
 
歯の真ん中が合わない場合顔に対して
 
上の歯、下の歯がどちらにどのくらずれているかを
 
確認します。
 
また顎を広げる場合どの程度広げられるかも
 
かくにんできます。
 
 
頸椎の分析
 
 
手根骨の分析
 
 
 
上記の分析は骨年齢や
 
成長のスパートの時期
 
最終身長などを予想できます。

2015年9月19日土曜日

当院の矯正の検査 矯正検査って何のため その2

その3パノラマX線
 
 
 
上記のような歯と顎全体のX線を撮ります
 
大まかなチェック項目
 
乳歯の下の永久歯の有無、状態
 
・歯が埋まっている骨のレベル
 
病変のチェック
 
歯の長さ
 
歯の太さ、細さ
 
根の完成、未完成状態、湾曲状態
 
治療歯の有無、虫歯の有無
 
修復歯の状態の把握
 
根尖の病巣の有無
 
上顎洞の位置、状態
 
関節突起の状態、
 
下歯槽菅の位置
 
などをこのレントゲンから考察します。
 
 
 
 
 
 
 
 
 


2015年9月14日月曜日

当院の矯正の検査 矯正の検査って何のため その1

矯正治療を行うとき歯だけ、
 
口の中だけ見てもいい結果は
 
得られません。血液の検査やレントゲン
 
をとらないでお医者さんが経験だけで
 
診断して投薬したり手術するのって怖いですよね。
 
今日は当院で行ている矯正検査と
 
それで何を見て治療方針の決定を行っているか
 
のかを説明します。

※説明はソフト会社ライズのHPより引用

その1 顔貌・口腔内写真

 
まず今の歯の写真・顔写真をとります。
 
これは最初の状態の記録や軟組織上の
 
顔貌や口元の突出感また顔に対しての
 
歯の曲り等を確認しまた患者さん
 
ご自身に今の状態を認識してもらうのも
 
重要な写真です。
 
 
その2 記録模型(平行模型)
 
 
歯の型を採ります。
 
口の中を歯型で採り、石膏で平行模型
 
というものをつくります。
 
この模型は患者さんの治療前の
 
状態を保存する(記録)するとともに
 
患者さまに口の中の状態を模型上に起こし
 
3Dで立体的に見ていただく意味もあります。
 
分析項目としては
 
・歯の大きさ 
 
・顎の大きさ・長さ
 
・歯槽骨の長さ・口蓋の深さ
 
(※レントゲン以外でも口呼吸や筋力の強さ
 
を推測できる)
 
・顎骨に対して歯を並べていくと
 
何ミリ足りないか、また何ミリ余るか
 
・歯列のカーブの深さ(スピーカーブの量
 
・小帯の位置、歯肉の退縮の状態
 
・歯の摩耗部位の確認
 
・並べてた時にかみ合わせのバランスがうまくいくかどうかの
 
上下の歯のサイズバランス。(tooth size raitio)
 
けっこう模型だけでも見る部位があります。
 
また機能的に異常が疑われる場合、
 
顎関節に疾患が認められる場合、
 
咬む位置が定まりにくい患者様の場合
 
はこの模型を咬合器という機械につけて
 
診断します。
 
 
 
次回つづき
 
その3 パントモX線
 
その4 セファロ(頭部X千規格写真)正面・側面
 
その5 ハンドリストX-Ray(手根骨)
 
その6 3DCT
 
 
すべては患者さんの笑顔ために
 

2015年9月1日火曜日

小学生の女の子 反対咬合(受け口)の改善

初診時
 
治療中
治療後
治療前のレントゲン(セファロ)

治療後のレントゲン(セファロ)
 
治療期間一15か月
 
思春期の成長の前に終了
 
今後の顎の成長を見ていく段階です。
 
お子さんの反対咬合の矯正相談随時受け付けています。






 
 


 


 
 

歯を後方に移動させスペースを稼ぎ、前突やデコボコを改善させる装置

 
歯を抜きたくない患者様多いです。
 
私も当然抜きたくありません。
 
当院での使用装置の一例です。
 
すべての患者様に適応できるわけではありません。
 
簡単にいうと後方に送り込んで大丈夫な骨格の
 
人、あまりよくない骨格の人がいます。
 
拡大や歯の後方への送り込み
 
は適応かどうかをセファロという
 
頭部X線規格写真の側面・正面をとって
 
みていくものです。
 
当院ではそのほかにCTもその場でとれるので
 
歯を後方にさげるときのチェック項目の切歯管の位置や
 
蝶形後頭軟骨結合の化骨の状態なども
 
把握できるので成長期の矯正の適正な時期
 
の判断にもしようしています。
 
無料矯正相談随時受付中です。
 

2015年8月19日水曜日

歯を後方に移動させ、顎を広げてボコボコの改善を行い、スペースを稼ぐ装置

 
熱海駅前矯正歯科でも
 
 
この治療もおこなっております。ご興味のある方は
 
ぜひ相談おまちいたしております。

2015年8月17日月曜日

歯を後方に移動させてデコボコや前突を治す装置

 
 
抜かないでデコボコや前突を
 
治す方法もあります。
 
すべての人に適応できるわけでは
 
ありませんが、このような方法も
 
あります。ご興味のある方は
 
無料相談に。

2015年8月13日木曜日

下顎の成長を利用した矯正治療

 
 
バイオネーターという装置です。
 
寝ているときに使用して
 
前後の差のあるかみ合わせや
 
かみ合わせが深い人の治療に
 
つかいます。成長期の子供に有効な
 
装置ですが、誰にでも入れれば効果が出るものでは
 
ありません。しっかりレントゲンで骨格パターンを
 
分析して効果のある方にしようします。

2015年8月12日水曜日

矯正治療のリカバリー相談 随時受付中

熱海駅前矯正歯科では矯正治療の
 
リカバリー相談を行っています。
 
以前矯正治療を行った人の相談が増えています。
 
子供のころ矯正したけど、生え変わりや、成長に伴って
 
かみ合わせがズレてきた。安定のための装置を途中で
 
やめてしまい、歯並びが後戻りしてしまった。
 
また途中で歯科医院の来院をやめてしまった。
 
まだ歯の裏側に矯正の針金がついている。
 
歯並びの見た目はきれいなんだけど前歯で
 
物が噛めない。 口が時々開きずらい。
 
 
矯正治療の相談おまちしています。
 
熱海駅前矯正歯科で湯河原・函南・真鶴・伊東・下田・熱海
 
から相談にいらしてます。

2015年8月11日火曜日

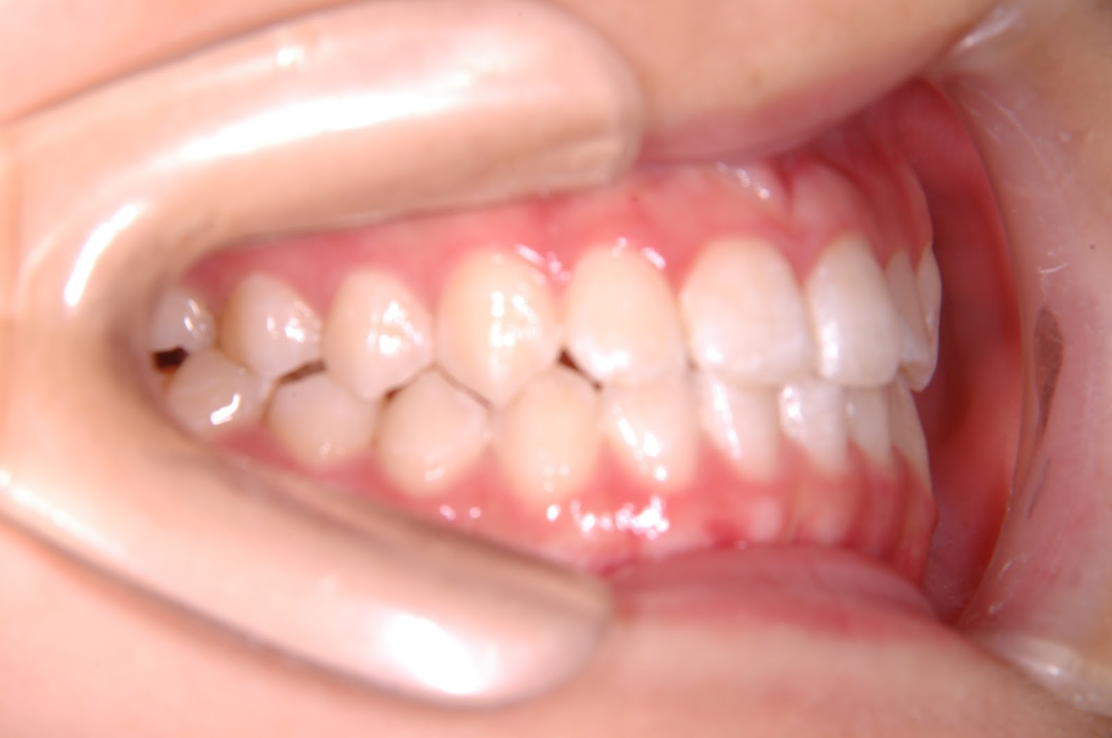
同じ人❔よくある叢生(デコボコ)  治療前 治療後

矯正治療前
 
矯正治療後
 
 
典型的な八重歯で叢生
 
治療期間23か月、35歳女性
 
治療後 ホワイトニングもおこないました。
 
おなじ人と思えないかな。
 
歯並びでお悩みの方
 
ご相談お待ちいたしております。
 
熱海駅前矯正歯科は熱海駅改札出てすぐ
 
伊東・函南・湯河原・真鶴・下田からも
 
いらっしゃてます。

2015年8月9日日曜日

熱海駅前矯正歯科 ほんとに駅前

 
熱海駅前は夏休みもあって
 
はたまた箱根の風評の影響もあって
 
例年の夏よりにぎわっています・
 
駅を降りて皆さんが気になるのが
 
この足湯、なんか熱海を感じられるのかな
 
熱海の名前の由来って熱い海って本当かな・・・
 
でも今年の海はほんとに暑そう。
 
歯並び・かみ合わせのご相談は
 
熱海駅前矯正歯科で。

2015年8月3日月曜日

大人の矯正 子供の矯正 無料相談随時受付中


 
欧米のスマイル文化
 
歯を見せて笑う。
 
 
わらう門には福来るですね。
 
 
熱海駅前矯正歯科では夏休み
 
歯並び・かみ合わせ・歯のホワイトニング
 
の無料相談随時おこなっています。

2015年3月17日火曜日

伊豆 函南 湯河原 熱海 矯正相談受付中 金属アレルギーの方の矯正対応

              金属アレルギーは、特定の金属に過敏反応を起こしてかゆみや

              湿疹をひき起こすもので時計やアクセサリーなどのアレルギーがよく

              報告されております。

              アレルギーの原因となる金属では、ニッケル、クロム、コバルト

         水銀の頻度が高く、またアルミニウム、亜鉛、パラジウム、ロジウム、

              なども原因になりやすいものです。
 

              熱海駅前矯正歯科では過敏に反応する。金属以外の材質で矯正

              することが可能で。メタルをプラスティックやセラミック・チタン

              のものに代えたりワイヤーはニッケル・クロム系のワイヤーを

              バイオメタル系のワイヤーに代えたり、ゴムやマウスピース装置を

              使用することにより、安全安心に治療を行うことが可能です。

              金属アレルギーがあることで矯正に躊躇したりあきらめたりしている方

              はご相談ください。

ワールドカップ美人サポーターに学ぶ 歯並び かみ合わせ相談随時無料

 
 
 
ワールドカップ見てると外国のサポーターの
 
歯並びのよさ目に付きます。
 
スマイルがいいってやっぱりいい印象ですね